Unsere Leistungen

  • Festsitzender Zahnersatz:
    Kronen-Brücken-Technik in verschiedenen Varianten auch auf Implantat Basis, Inlays, Onlays

Monolithisch

Geschichtet

  • Abnehmbarer Kombi-Zahnersatz
    Abnehmbarer Kombi-Zahnersatz auch auf Implantat Basis (Teleskop, Geschiebe, Stege, Locatoren, etc., auch in metallfreier Version

  • Interims-Versorgung
    auch auf Implantat Basis

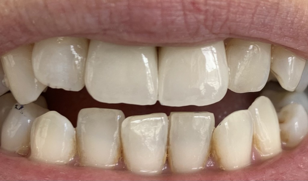
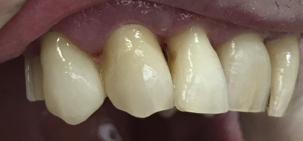
Vorher Nachher

BeforeAfter
BeforeAfter
BeforeAfter